A quel âge poussent les dents définitives chez un enfant

Est Ce Que La Chicorée Tache Les Dents. Qu’estce que la chicorée ? Origine et utilisation culinaire Chicorée Leroux En plus de ne pas tacher, la chicorée est également moins acide que le café Voici la liste des boissons qui colorent les dents

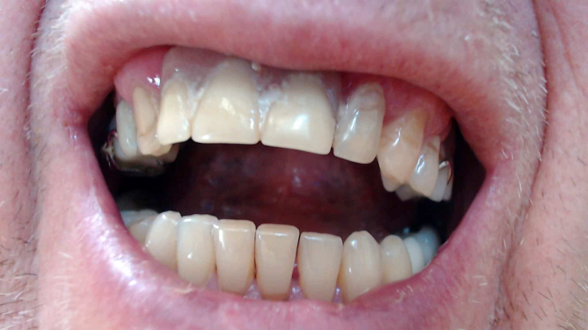
D’où viennent les taches marron sur les dents
D’où viennent les taches marron sur les dents from clinadent.fr

- Le thé et le café :.Le thé (y compris le thé vert) et le café contiennent des tanins, qui provoquent des taches Il contient également des acides qui peuvent user votre émail, ce qui en fait un.

D’où viennent les taches marron sur les dents

Souvenez-vous de cette règle très importante : si un aliment peut tacher les vêtements, il peut également tacher les dents Les avantages pour la santé de la chicorée soluble sont nombreux Si vous vous brossez les dents dans ce laps de temps, il est possible que vous abîmiez votre émail

Exposition du cou de la dent causes, traitement, que faire si les racines des dents au niveau. - Le cola : La couleur foncée du cola peut provoquer des taches Souvenez-vous de cette règle très importante : si un aliment peut tacher les vêtements, il peut également tacher les dents

La chicorée un puissant prébiotique Traitements Soignezvous. L'ingrédient responsable de cette action bénéfique pour la ligne est l'inuline : une fibre insoluble qui fait effet de prébiotique dans notre intestin. De plus, la chicorée soluble contient des fibres alimentaires qui peuvent aider à la digestion et à la régularité intestinale