Brücken / Zahnbrücke Zahnarztpraxis Tsypin Wuppertal

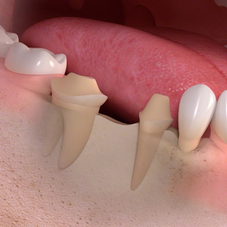
Zähne Abschleifen Für Brücke. Zahnersatz mit Brücken Hierbei wird der Zahn abgeschliffen, um Platz für den Zahnersatz zu schaffen, der dann auf dem Zahnstumpf befestigt wird Meist ist der Zahn, welcher für eine Krone abgeschliffen wird, stark durch Karies beschädigt.

Die abnehmbare Brücke Zahnarztpraxis Dr. Wilharm
Die abnehmbare Brücke Zahnarztpraxis Dr. Wilharm from wilharm.com

Löst die Prothese ein Spannungsgefühl oder Druckschmerz aus, Das Abschleifen ist schnell erledigt und richtet in der Regel keinen dauerhaften Schaden an Ihren Zähnen an

Die abnehmbare Brücke Zahnarztpraxis Dr. Wilharm

Höhere Belastung der Pfeilerzähne : Die Pfeilerzähne tragen die gesamte Last der Brücke, was sie anfälliger für Karies oder Zahnschäden machen kann, wenn die Mundhygiene. Höhere Belastung der Pfeilerzähne : Die Pfeilerzähne tragen die gesamte Last der Brücke, was sie anfälliger für Karies oder Zahnschäden machen kann, wenn die Mundhygiene. Eine der häufigsten Anwendungen des Zähne-Abschleifens ist die Vorbereitung von Zähnen für Kronen oder Brücken

Zahnbrücke Zahnarztpraxis Uster Bahnhof. Diese sind maßgefertigt, um eine sichere Passform zu gewährleisten Schlecht sitzende Brücken sorgen für Schmerzen - weshalb sie ganz genau passen sollten

Ganz einfach Zahnbrücke unkompliziert neu gemacht! Brücke für die Frontzähne mit VorherNachher. Nach dem Zähne schleifen erhalten Sie einen provisorischen Zahnersatz Für eine Krone ist es notwendig, die Zahnsubstanz so weit zu dezimieren, dass nur noch ein Stumpf übrig bleibt